私たちの取り組む課題
DIPG/DMGは最も過酷ながんの一つです。特にDIPGは、6歳から8歳の子供たちを中心として発生する難治性の脳腫瘍です。DMGとは、"Diffuse Midline Gliomas"、びまん性正中グリオーマと言われるH3 K27Mの遺伝子変異を特長とする脳幹、視床、脊髄に発生するがんの総称です。DIPGは、"Diffuse Intrinsic Pontine Glioma"、びまん性内在性橋グリオーマと言われる脳幹内部に発生するがんです。現時点で世界で多くの研究が進行していますが、治癒に至る可能性のある研究成果はまだ出ていません。
The Cure Starts Nowでは、がんの根治を目指す研究戦略として、以下の4つの優先分野に焦点を当てています。
◉情報 私たちが取り組むがんに関するゲノムおよび人口統計データを含む登録情報の収集。
◉送達 副作用を最小限に抑えながら、治療を腫瘍に直接届ける革新的な方法の開発
◉トランスレーショナル(橋渡し研究)がんと闘うために特別に設計された新しい治療法や薬剤の戦略的な開発。
◉臨床 現在の患者に役立つように、既存の治療法を適応・応用する取り組み。
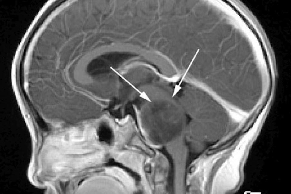
🧠 DIPG/DMG – One of the Most Devastating Cancers
DIPG/DMG is one of the most devastating forms of cancer.
In particular, DIPG (Diffuse Intrinsic Pontine Glioma) is a treatment-resistant brain tumor that primarily affects children between the ages of six and eight.
DMG refers to Diffuse Midline Gliomas, a group of cancers characterized by H3 K27M gene mutations, typically occurring in the brainstem, thalamus, and spinal cord.DIPG stands for Diffuse Intrinsic Pontine Glioma, a tumor that develops within the pons, a part of the brainstem.Although numerous studies are currently underway around the world, no research has yet led to a cure.
The Cure Starts Now – Four Strategic Research Focus Areas
At The Cure Starts Now, we focus on four strategic research areas to aim for a true cure for cancer:
◉ Data: Collection of registry data, including genomic and demographic information related to the cancers we are fighting.
◉ Delivery: Development of innovative methods to deliver therapies directly to the tumor while minimizing side effects.
◉ Translational Research: Strategic development of novel therapies and medications specifically designed to combat these cancers.
◉ Clinical: Efforts to adapt and apply existing therapies for immediate benefit to current patients.
なぜこの課題に取り組むか



2007年に、ブルック&キース・デザリック氏によってアメリカで設立されたがん治療研究支援団体The Cure Starts Nowは、その実行力で多額の資金を集め、これまでに合計約38億円を世界各国のがん研究者や研究機関を支援してきました。
小児脳腫瘍は、がんとの闘いにおいて最も重要な戦いのひとつかもしれません。世界中の専門家たちは、DIPGのような小児脳腫瘍に取り組む中で得られる戦略が、あらゆるがん治療の未来を変えると信じています。The Cure Starts Nowは、世界的な協力体制を通じて、DIPGや他の脳腫瘍への関心を高めるだけでなく、治療をこれまでにないスピードで進める優れた研究者たちを見出し、すべての寄付者にとって価値ある成果を届けています。
The Cure Starts Now Japanは、日本でのDIPG/DMGの治療研究推進を目指し、2025年6月に結成されました。The Cure Starts Nowの世界中のパートナーたちは、ただ次の研究を待つだけではありません。これまで無謀と思われていたような新たな連携や治療プロトコルを創出することに挑戦し続けています。
About The Cure Starts Now
Founded in 2007 by Brooke and Keith Desserich in the United States, The Cure Starts Now is a cancer research support organization that has demonstrated remarkable initiative, raising significant funds and providing over 3.8 billion yen (approximately USD 25 million) in support to cancer researchers and institutions worldwide.
Pediatric brain tumors may represent one of the most crucial frontlines in the fight against cancer.
Experts around the world believe that the strategies developed through tackling conditions like DIPG may one day transform the future of all cancer treatment.
Through a global network of cooperation, The Cure Starts Now not only raises awareness of DIPG and other brain tumors but also identifies and supports outstanding researchers who are accelerating treatment advances faster than ever—delivering meaningful results to every donor.
The Cure Starts Now Japan
The Cure Starts Now Japan was established in June 2025 with the mission to advance treatment research for DIPG/DMG in Japan.
Our global partners in The Cure Starts Now are not simply waiting for the next study—they are actively challenging the status quo by creating new collaborations and treatment protocols once thought impossible.
支援金の使い道
The Cure Starts Now は、世界のがん研究者によって構成されている諮問委員会によって、今後数年間のうちに日本での有望な研究を見定め、計画を策定します。The Cure Starts Now Japanの募金活動によって得られた皆様からの支援がそこに投入されます。ご寄付の100%が直接研究費に充てられます。つまり、皆さまのご支援は最も効率的な形で活用されます。
当団体の助成金はすべてDIPG/DMGをはじめとする特定の研究に使われ、研究者には成果と革新性に対する責任が課されます。
どうかあたたかいご支援をどうぞよろしくお願い致します。
Your Support Powers Research
The Cure Starts Now is guided by an international advisory council made up of leading cancer researchers.In the coming years, this council will identify and develop promising research initiatives within Japan.All funds raised through The Cure Starts Now Japan will be directed toward supporting these efforts.
100% of your donation goes directly to research funding.
This means your support is used in the most efficient and impactful way possible.
All of our grants are allocated specifically to DIPG/DMG and related research, and every researcher is held accountable for results and innovation.
We sincerely thank you for your warm support and generosity.
🌍 Donation from Outside Japan (via Syncable)
🔸 To switch the page to English, please tap the globe icon (🌐) at the top right of the screen.
(Syncable’s interface may appear in Japanese by default.)
Thank you for your interest in supporting our cause.
We accept credit card donations via the Japanese donation platform Syncable.
Please note the following when donating from overseas:
🔐 Supported Credit Cards
- VISA, MasterCard, JCB
- The transaction will be processed in Japanese Yen (JPY)
- Some cards issued outside Japan may be declined due to security reasons set by the card issuer.
📝 How to Fill Out the Form (Important Notes for Overseas Donors)
- Address field: The form is based on Japanese format. Please enter your information using the following example:
Postal code: 000-0000
Prefecture: New York
City / Street: your actual city and address
Building name: Optional
Phone number: Use a dummy format like 000-0000-0000 if needed
These are required by the system, but do not affect the actual transaction.
💱 Currency
- All donations are processed in JPY
- Your credit card company will convert the amount into your local currency.
❓ If You Experience Issues
If your donation fails, please consider:
- Trying a different card
- Contacting your bank to allow foreign transactions
- Or contacting us via [your contact email]
🙏 Thank you for your support!
Your donation helps us advance important research and support efforts for children with DIPG/DMG.

